Researchers from the Robinson Research Institute (RRI) at Victoria University have developed a small magnet allowing the development of the world’s first portable magnetic resonance imaging (MRI) scanner.
Ben Parkinson, a senior engineer at RRI, said the magnet’s size is key to making the device portable. “Until now, there hasn’t been a way to produce clinical-quality images using the magnetic field from a magnet this small.” The portable scanner could be taken to remote areas such as New Zealand’s west coast or the far north, where there is limited access to MRI, he said. The new scanner is being trialled in the US in a joint project with the University of Minnesota. There are, however, a few hurdles to jump before the portable MRI sees real-world action, said Parkinson. “At the moment, it’s still very much a piece of scientific equipment. The next step is to get the MRI scanner achieving diagnostic-quality images.”
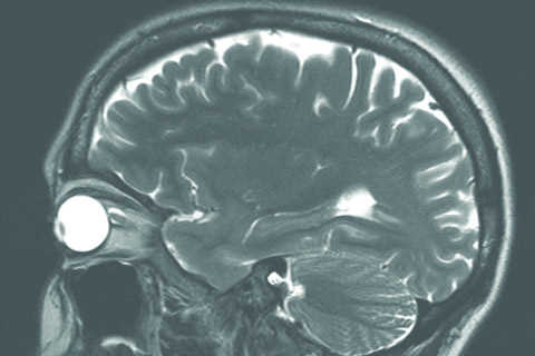
In ophthalmology, structural MRI can be useful in cases where optical imaging devices are stymied by optical pathway opacities. It may also be one of optometry’s greatest tools, particularly if a visual field defect can’t be explained based on ocular presentation alone, said US optometrist Dr Molly Ann Clymer. An MRI is warranted in cases of bilateral optic nerve disc oedema; optic nerve disc pallor unexplained by ocular history; unilateral optic nerve disc oedema with pain on eye movement, proptosis, suspicion or history of demyelination, or extraocular muscle restrictions, she said.