Top Stories

AUSCRS in Darwin a snapshot

Dr David Kent 05/11/2025

The Australasian Society of Cataract and Refractive Surgeons' annual meeting was a vibrant mix of scientific presentations, spirited discussions and debates

Southern Cross funds iStent Infinite

Lesley Springall 03/11/2025

Welcoming Southern Cross’ decision to partially fund the iStent Infinite, glaucoma specialists discuss why its important

Consultation open on antibiotic guidelines

Staff reporters 04/11/2025

University of Auckland researchers are inviting feedback on a new national platform providing antibiotic prescribing guidance

Yes sir, NOSA

Dr Hannah Kersten 03/11/2025

Dr Hannah Kersten shares some of the the highlights and pearls from this year's NOSA meeting in Auckland

Editor's Choice

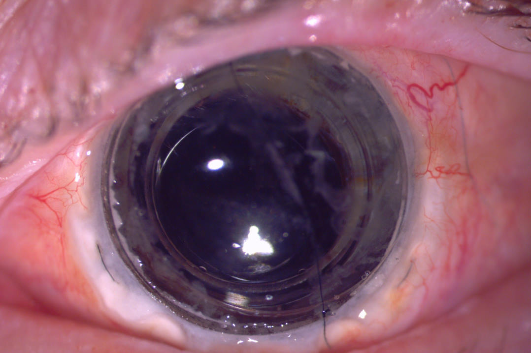
ARN a rare but important cause of uveitis

Drs Jo Sims and Haya Al-Ani 01/11/2025

NZ Optics begins new chapter

Staff reporters 26/10/2025

When happy-go-lucky goes awry

Trevor Plumbly 24/10/2025

A roadmap to independent practice

Renee Lunder 20/10/2025

Features

Vitreoretinal research review November 2025

Dr Moaz Alshaikhi 02/11/2025

Save Sight 2025 Innovations in Eye Health

Dr Charisse Kuo 22/10/2025

The resurgence of the scleral lens

Daniel Moriarty 17/10/2025

Hot topics with Retina Specialists

Susanne Bradley 15/10/2025

Comment

Adlers Physiology of the Eye by Leonard Levin

Reviewed by Professor Charles McGhee 08/10/2025

SPONSORED Celebrating eyecare from yesterday to tomorrow

Lesley Springall for Auckland Eye 07/10/2025